GB Clinics

First CMC Joint Osteoarthritis Treatment in Oxfordshire | GB Clinics

First CMC Joint Osteoarthritis Treatment in Oxfordshire | GB Clinics

First CMC joint osteoarthritis, also known as thumb base arthritis, is a common and often painful condition affecting the joint at the base of the thumb. This joint is essential for gripping, pinching, writing, and daily hand function. When osteoarthritis develops in this area, even simple tasks such as turning keys, opening jars, texting, or holding a pen can become extremely painful and limiting.

At GB Clinics, we provide expert diagnosis and advanced non-surgical treatment for first CMC joint osteoarthritis, helping patients across Oxford, Headington, Summertown, Cowley, Botley, Marston, Jericho, Kidlington, Abingdon, Bicester, Witney, Didcot, Banbury, Woodstock, Eynsham, Yarnton, Wheatley, Carterton, Chipping Norton, Thame, Wallingford, Wantage, Faringdon, Burford, Henley-on-Thames, Swindon, and Cheltenham regain pain-free hand function and everyday independence.

What Is First CMC Joint Osteoarthritis?

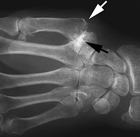
The first carpometacarpal (CMC) joint is the joint at the base of the thumb where the thumb meets the wrist. This joint allows the thumb its wide range of movement, including gripping, pinching, and opposition.

First CMC joint osteoarthritis occurs when the protective cartilage covering this joint gradually wears away. As cartilage thins, the bones rub together, leading to pain, swelling, stiffness, instability, and reduced thumb strength.

Many patients from Abingdon, Witney, and Banbury first notice discomfort when opening jars or using keys, before the pain becomes persistent.

Causes & Risk Factors of First CMC Joint Osteoarthritis

Thumb base arthritis develops due to repetitive loading and natural cartilage degeneration over time. Common risk factors include:

  • Age-related wear and tear
  • Repetitive thumb and hand use
  • Manual work and heavy gripping
  • Office and computer-based work
  • Previous thumb or wrist injury
  • Joint laxity or instability
  • Genetic predisposition
  • Female gender (more commonly affected)

Residents across Headington, Summertown, Cowley, and Botley frequently develop CMC joint OA due to long-term hand use in work and daily activities.

Symptoms of First CMC Joint Osteoarthritis

Typical symptoms of thumb base arthritis include:

  • Pain at the base of the thumb
  • Pain when gripping, pinching, or twisting
  • Weak grip and reduced pinch strength
  • Swelling or tenderness at the thumb base
  • Stiffness, especially in the morning
  • Loss of thumb movement
  • Grinding or clicking sensation
  • Visible thumb deformity in advanced cases

Patients from Bicester, Didcot, Woodstock, and Eynsham often report that pain gradually worsens and begins to interfere with work and daily tasks.

Expert Diagnosis of First CMC Joint Osteoarthritis at GB Clinics

At GB Clinics Oxford, accurate diagnosis is the foundation of effective thumb joint treatment. We perform a detailed hand and wrist assessment supported by high-resolution diagnostic ultrasound to visualise joint degeneration, inflammation, and surrounding tendon structures in real time.

Ultrasound allows us to assess:

  • Cartilage thinning
  • Joint fluid accumulation
  • Ligament stability
  • Surrounding tendon inflammation

This precise diagnostic approach ensures patients from Kidlington, Abingdon, and Bicester receive the most appropriate and targeted treatment from their first visit.

Advanced Non-Surgical Treatments for First CMC Joint Osteoarthritis

GB Clinics specialises in minimally invasive, evidence-based treatments for thumb base arthritis that relieve pain, improve joint function, and delay or avoid surgery.

  1. Ultrasound-Guided Injections

Targeted ultrasound-guided injections allow medication to be delivered precisely into the first CMC joint, providing effective pain and inflammation relief. Patients from Witney, Didcot, and Woodstock often experience rapid improvement after image-guided treatment.

  1. Hyaluronic Acid Injections

Hyaluronic acid injections restore joint lubrication and shock absorption within the thumb joint, reducing friction and improving smoother thumb movement.

  1. Arthrosamid® Injections (Selected Cases)

For advanced or persistent CMC joint osteoarthritis, Arthrosamid provides long-lasting cushioning and sustained pain relief.

  1. Shockwave Therapy (Supporting Soft Tissues)

Shockwave therapy may be used to treat associated tendon irritation around the thumb and wrist, supporting overall hand recovery.

Patients from Eynsham, Yarnton, and Carterton frequently achieve excellent outcomes using these advanced non-surgical options.

Personalised Rehabilitation for Thumb Base Arthritis

At GB Clinics, injection treatment is supported by structured hand rehabilitation programmes to restore thumb strength and prevent recurrence. Patients from Wheatley, Chipping Norton, and Thame receive personalised rehabilitation that may include:

  • Thumb stabilisation exercises
  • Grip and pinch strengthening
  • Hand and wrist mobility training
  • Joint protection techniques
  • Ergonomic and activity modification advice
  • Splinting or bracing where required

This integrated approach ensures long-term hand function and pain control.

When Should You See a First CMC Joint Specialist?

You should seek specialist care at GB Clinics if you experience:

  • Persistent thumb base pain for more than two weeks
  • Pain interfering with daily hand function
  • Difficulty gripping everyday objects
  • Thumb weakness or instability
  • Swelling or stiffness that does not settle
  • Increasing deformity at the thumb base
  • Recurrent flare-ups

Patients from Wallingford, Wantage, and Faringdon often prevent long-term disability by seeking specialist care early.

Why Choose GB Clinics for First CMC Joint Osteoarthritis Treatment?

GB Clinics is trusted across Oxfordshire and Gloucestershire for expert hand and thumb care because we provide:

  • Highly experienced musculoskeletal and hand specialists
  • Advanced ultrasound-guided diagnostic precision
  • Targeted injection and regenerative therapies
  • Modern non-surgical osteoarthritis treatments
  • Integrated physiotherapy and hand rehabilitation support
  • Multiple convenient clinic locations across the region

Patients from Oxford, Kidlington, Abingdon, Banbury, and Cheltenham trust GB Clinics for precise diagnosis, personalised care, and consistently excellent outcomes.

Preventing Progression of First CMC Joint Osteoarthritis

While osteoarthritis cannot always be reversed, its progression can be slowed with the right strategies:

  • Avoid prolonged heavy gripping
  • Use joint-protection techniques
  • Strengthen thumb and hand muscles regularly
  • Use ergonomic tools
  • Maintain good wrist and hand posture
  • Use splints during flare-ups if advised
  • Follow specialist rehabilitation programmes

Patients in Summertown, Marston, and Jericho often achieve long-term symptom control with early prevention strategies.

Patient Outcomes Across Oxfordshire

Many of our patients from Oxford, Abingdon, and Banbury present with thumb base arthritis that restricts writing, driving, work, and daily activities. Through advanced injection therapy and structured hand rehabilitation, they achieve:

  • Significant pain reduction
  • Improved grip and pinch strength
  • Reduced swelling and stiffness
  • Better hand coordination
  • Improved work and daily function
  • Reduced reliance on pain medication

From office professionals in Cowley and Botley to retirees in Witney and Woodstock, our first CMC joint programmes support patients at every stage of life.

First CMC Joint Osteoarthritis vs Surgery

Thumb base surgery is not always the first or best option. Many patients from Swindon, Cheltenham, and Wantage successfully delay or avoid surgery with image-guided injections, hyaluronic acid, Arthrosamid, and rehabilitation programmes at GB Clinics.

Non-surgical management is particularly valuable for patients seeking to preserve joint movement while minimising surgical risks.

Book Your First CMC Joint Osteoarthritis Consultation Today

If you are suffering from first CMC joint osteoarthritis (thumb base arthritis) in Oxford, Headington, Summertown, Cowley, Botley, Marston, Jericho, Kidlington, Abingdon, Bicester, Witney, Didcot, Banbury, Woodstock, Eynsham, Yarnton, Wheatley, Carterton, Chipping Norton, Thame, Wallingford, Wantage, Faringdon, Burford, Henley-on-Thames, Swindon, or Cheltenham, expert non-surgical care is available at GB Clinics.

GB Clinics – Advanced First CMC Joint Osteoarthritis Treatment & Hand Arthritis Care Across Oxfordshire and Gloucestershire.

GB Clinics – Advanced Tennis Elbow Treatment & Tendon Rehabilitation Across Oxfordshire and Gloucestershire.